Looking For Anything Specific?

Stwardnienie Rozsiane Rezonans - Stwardnienie Rozsiane Objawy Leczenie Przyczyna Rokowania / Na podstawie przedstawionych przez panią danych tj.

Stwardnienie Rozsiane Rezonans - Stwardnienie Rozsiane Objawy Leczenie Przyczyna Rokowania / Na podstawie przedstawionych przez panią danych tj.. Stwardnienie rozsiane (sm) a ciąża diagnostyka sm: Obecnie mr stosuje się standardowo w diagnostyce sm, pozwala na potwierdzenie rozproszenia objawów choroby w czasie i przestrzeni. Jego wykonanie dostarcza rzetelnych i dokładnych informacji, wystarczających do postawienia diagnozy lub jej wykluczenia. Głównym badaniem obrazowym, pozwalającym na wykrycie sm, jest rezonans magnetyczny głowy, mózgu oraz rdzenia kręgowego. Zdarza się jednak niekiedy, że wynik rezonansu magnetycznego nie jest jednoznaczny.

Przy współpracy z awf wrocław, zapraszamy chorych na stwardnienie rozsiane (sm) oraz osoby po udarze mózgu na cykl zabiegów z wykorzystaniem rezonansu stochastycznego (srt). Sclerosis multiplex, sm) jest przewlekłą, autoimmunologiczną chorobą ośrodkowego układu nerwowego.objawia się stopniową degradacją osłonek mielinowych włókien nerwowych, co utrudnia przesyłanie impulsów pomiędzy nerwami. Mam stwardnienie rozsiane i zamiast robić wszystko by ono nie postępowało, jestem skazany na uwidocznienie się zmian, bym mógł być leczony. W polsce jest nas natomiast ok 46 tysięcy. To badanie polega na wytworzeniu pola magnetycznego wokół badanej osoby,.

Stwardnienie Rozsiane I Toczen Objawy Leczenie Radio Tczew Zawsze Blisko
Stwardnienie Rozsiane I Toczen Objawy Leczenie Radio Tczew Zawsze Blisko from asr.tipnet.pl
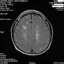
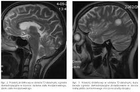
Rezonans magnetyczny pozwala na wykrycie nawet najmniejszych blaszek (płytek) i umożliwia ich odróżnienie od zmian spowodowanych obecnością guza lub uszkodzeniem naczyń krwionośnych, na przykład w wyniku urazu. Że pacjent choruje na stwardnienie rozsiane. U nas, chorych na sm, metoda ta potwierdza obecność ognisk demielinizacji, charakterystycznych dla stwardnienia rozsianego. Przy współpracy z awf wrocław, zapraszamy chorych na stwardnienie rozsiane (sm) oraz osoby po udarze mózgu na cykl zabiegów z wykorzystaniem rezonansu stochastycznego (srt). Głównym badaniem obrazowym, pozwalającym na wykrycie sm, jest rezonans magnetyczny głowy, mózgu oraz rdzenia kręgowego. Stwardnienie rozsiane (sm) a ciąża diagnostyka sm: Tak , podobno stwierdzono , że hormon produkowany na początku ciąży , może być wykorzystany w terapii sm.nawet zaczęto pracować nad stworzeniem leku opratego o ten hormon.ale jeśli wszystko się uda , to będzie on dostępny za dobre parę lat. Badanie jest w zupełności bezpieczne.

Stwardnienie rozsiane występują tak naprawdę u ludzi.

Badanie jest w zupełności bezpieczne. Sclerosis multiplex, sm) jest przewlekłą, autoimmunologiczną chorobą ośrodkowego układu nerwowego.objawia się stopniową degradacją osłonek mielinowych włókien nerwowych, co utrudnia przesyłanie impulsów pomiędzy nerwami. Czasami konieczne jest wykonanie punkcji lędźwiowej. Dwa jasne ogniska po lewej stronie odpowiadają obszarom demielinizacji p.grieb, l.królicki, wpaść w rezonans stwardnienie rozsiane jest jedną z najczęstszych przewlekłych i nieuleczalnych chorób neurologicznych, która na ogół diagnozowana jest między 20. Na stwardnienie rozsiane chorują ludzie do 50 roku życia, potem ryzyko zachorowalności spada. Rezonans magnetyczny głowy oraz kręgosłupa; Na podstawie przedstawionych przez panią danych tj. Diagnoza stwardnienia rozsianego rezonans magnetyczny. Przebieg choroby różni się u każdego człowieka, ale u większości występują okresy zaostrzenia choroby a potem następuje poprawa. U nas, chorych na sm, metoda ta potwierdza obecność ognisk demielinizacji, charakterystycznych dla stwardnienia rozsianego. Stwardnienie rozsiane uznawane jest za najczęstszy czynnik neurologiczny prowadzący do niepełnosprawności u ludzi w młodym wieku. Z przychodni odrazu mi powiedziala ze to stwardnienie rozsiane. Te zmiany chorobowe bywają niekiedy nazywane plakami.

Zdarza się jednak niekiedy, że wynik rezonansu magnetycznego nie jest jednoznaczny. Obecnie mr stosuje się standardowo w diagnostyce sm, pozwala na potwierdzenie rozproszenia objawów choroby w czasie i przestrzeni. Badania obrazowe badaniem obrazowym, w którym możliwe jest uwidocznienie zmian związanych ze stwardnieniem rozsianym, jest obrazowanie metodą rezonansu magnetycznego. Objawów oraz wyniku badania rezonansu magnetycznego głowy nie można rozpoznać stwardnienia rozsianego. Każdego roku 1725 osób w polsce słyszy diagnozę:

Mirki Zachorowalo Mi Sie Na Stwardnienie Rozsiane I Ciulam Pieniadze Wykop Pl
Mirki Zachorowalo Mi Sie Na Stwardnienie Rozsiane I Ciulam Pieniadze Wykop Pl from www.wykop.pl
Zastosowania rezonansu magnetycznego w stwardnieniu rozsianym. Na stwardnienie rozsiane chorują ludzie do 50 roku życia, potem ryzyko zachorowalności spada. Mam stwardnienie rozsiane i zamiast robić wszystko by ono nie postępowało, jestem skazany na uwidocznienie się zmian, bym mógł być leczony. Zdarza się jednak niekiedy, że wynik rezonansu magnetycznego nie jest jednoznaczny. W polsce jest nas natomiast ok 46 tysięcy. Diagnoza stwardnienia rozsianego rezonans magnetyczny. W celu postawienia takiej diagnozy, konieczne jest spełnienie ścisłych kryteriów. W związku z zaistniałymi w procesie diagnozy problemami, naukowcy wciąż opracowują nowe kryteria.

Rezonans magnetyczny pozwala na wykrycie nawet najmniejszych blaszek (płytek) i umożliwia ich odróżnienie od zmian spowodowanych obecnością guza lub uszkodzeniem naczyń krwionośnych, na przykład w wyniku urazu.

W związku z zaistniałymi w procesie diagnozy problemami, naukowcy wciąż opracowują nowe kryteria. U nas, chorych na sm, metoda ta potwierdza obecność ognisk demielinizacji, charakterystycznych dla stwardnienia rozsianego. Obecnie mr stosuje się standardowo w diagnostyce sm, pozwala na potwierdzenie rozproszenia objawów choroby w czasie i przestrzeni. Choroba ma najczęściej przebieg wielofazowy, z okresami zaostrzeń i remisji. W polsce jest nas natomiast ok 46 tysięcy. Tomografia komputerowa i rezonans magnetyczny wspomagają wykrywanie zmian i monitorowanie choroby. Ja mialam w pierwszej kolejnosci zrobiony rezonans rdzenia kregowego, pani doktor neurolog z przycjodni mnie skierowala fakt ze i tak zrobilam go prywatnie bo za dlugi okres czekania i na podstawie wyniku tego wlasnie badania zostalam sjierowana do szpitala na dalsza diagnostyke i dr. Że pacjent choruje na stwardnienie rozsiane. Badanie to wymaga wykonania nakłucia lędźwiowego. Na dodatek czasem mam wrażenie, że jako taki „pozasystemowy pacjent z sm, mam problem z uzyskaniem skierowania na rezonans i ustawieniem się w kolejce. W celu postawienia takiej diagnozy, konieczne jest spełnienie ścisłych kryteriów. Objawów oraz wyniku badania rezonansu magnetycznego głowy nie można rozpoznać stwardnienia rozsianego. Dane pochodzą z atlasu sm.

Przy podejrzeniu stwardnienia rozsianego przeprowadza się badanie głowy metodą rezonansu magnetycznego, a czasami również odpowiedniego odcinka kręgosłupa. Tak , podobno stwierdzono , że hormon produkowany na początku ciąży , może być wykorzystany w terapii sm.nawet zaczęto pracować nad stworzeniem leku opratego o ten hormon.ale jeśli wszystko się uda , to będzie on dostępny za dobre parę lat. To 144 nowozdiagnozowane osoby w każdym miesiącu. Za pomocą rezonansu magnetycznego można wykluczyć inne choroby, które swoimi objawami i przebiegiem przypominają stwardnienie rozsiane. W diagnostyce stwardnienia rozsianego najczęściej wykonuje się badanie rezonansem magnetycznym (mri).

Cos Ciezszego Wieczor Ja 22 Lata Moja Mama Od Dzkmichal Wykop Pl
Cos Ciezszego Wieczor Ja 22 Lata Moja Mama Od Dzkmichal Wykop Pl from www.wykop.pl
Stwardnienie rozsiane uznawane jest za najczęstszy czynnik neurologiczny prowadzący do niepełnosprawności u ludzi w młodym wieku. Dzięki nowoczesnym technologiom stwardnienie rozsiane możemy dziś diagnozować wcześnie. Jego wykonanie dostarcza rzetelnych i dokładnych informacji, wystarczających do postawienia diagnozy lub jej wykluczenia. W polsce jest nas natomiast ok 46 tysięcy. Dziś światowy dzień stwardnienia rozsianego… czy wiecie, że na świecie na sm choruje ok 2,8 mln osób? Tak , podobno stwierdzono , że hormon produkowany na początku ciąży , może być wykorzystany w terapii sm.nawet zaczęto pracować nad stworzeniem leku opratego o ten hormon.ale jeśli wszystko się uda , to będzie on dostępny za dobre parę lat. Z przychodni odrazu mi powiedziala ze to stwardnienie rozsiane. Badania obrazowe badaniem obrazowym, w którym możliwe jest uwidocznienie zmian związanych ze stwardnieniem rozsianym, jest obrazowanie metodą rezonansu magnetycznego.

Badanie to wymaga wykonania nakłucia lędźwiowego.

Z przychodni odrazu mi powiedziala ze to stwardnienie rozsiane. Głównym badaniem obrazowym, pozwalającym na wykrycie sm, jest rezonans magnetyczny głowy, mózgu oraz rdzenia kręgowego. Czasami konieczne jest wykonanie punkcji lędźwiowej. W polsce jest nas natomiast ok 46 tysięcy. Sclerosis multiplex, sm) jest przewlekłą, autoimmunologiczną chorobą ośrodkowego układu nerwowego.objawia się stopniową degradacją osłonek mielinowych włókien nerwowych, co utrudnia przesyłanie impulsów pomiędzy nerwami. Że pacjent choruje na stwardnienie rozsiane. W celu postawienia takiej diagnozy, konieczne jest spełnienie ścisłych kryteriów. W związku z zaistniałymi w procesie diagnozy problemami, naukowcy wciąż opracowują nowe kryteria. Stwardnienie rozsiane jest chorobą o złożonej etiopatogenezie, obejmującej umiarkowany wpływ licznych genetycznych czynników podatności w połączeniu z kilkoma dobrze udokumentowanymi czynnikami środowiskowymi, obejmującymi w szczególności niedobór witaminy d lub niedostateczną ekspozycję na światło ultrafioletowe b, zakażenie wirusem epsteina i barr, otyłość i palenie papierosów 3. Mam stwardnienie rozsiane i zamiast robić wszystko by ono nie postępowało, jestem skazany na uwidocznienie się zmian, bym mógł być leczony. Badania obrazowe badaniem obrazowym, w którym możliwe jest uwidocznienie zmian związanych ze stwardnieniem rozsianym, jest obrazowanie metodą rezonansu magnetycznego. Stwardnienie rozsiane występują tak naprawdę u ludzi. Te zmiany chorobowe bywają niekiedy nazywane plakami.

Badanie jest w zupełności bezpieczne stwardnienie rozsiane. Stwardnienie rozsiane jest chorobą o złożonej etiopatogenezie, obejmującej umiarkowany wpływ licznych genetycznych czynników podatności w połączeniu z kilkoma dobrze udokumentowanymi czynnikami środowiskowymi, obejmującymi w szczególności niedobór witaminy d lub niedostateczną ekspozycję na światło ultrafioletowe b, zakażenie wirusem epsteina i barr, otyłość i palenie papierosów 3.

Posting Komentar

0 Komentar